Case Published: October 2020
Diagnosis: Corononavirus Disease 2019 (COVID-19) Associated Nephropathy (COVAN)
Case Summary: Well done! Let’s take a closer look at this case of this patient with coronavirus disease 2019 (COVID-19) due to severe acute respiratory syndrome coronavirus 2 (SARS-CoV2) and acute kidney injury (AKI). Prevalence of AKI has been reported as high as 50% in patients with COVID-19! Before we get into what we know about COVID-19 and AKI, let’s focus on our patient. In the labs, we find hypoalbuminemia and 3+ protein on the urine dipstick. Both are suggestive of nephrotic syndrome (recalling the edema from our physical exam), though we should quantify the proteinuria before making this assessment. The urine protein to creatinine ratio (UPCR) confirms nephrotic range proteinuria, defined as greater than 3 to 3.5 grams of protein in a 24-hour urine collection, or a urine protein:creatinine ratio of greater than 3000 to 3500 mg/g. Together, proteinuria, significant edema, hypoalbuminemia, and often hyperlipidemia/lipiduria (lipids in the urine seen as fatty oval bodies with lipid droplets as in this patient’s urine) comprise nephrotic syndrome. Below is a broad differential diagnosis for patients with nephrotic syndrome.
So why nephrotic syndrome in this patient? Our differential diagnosis includes focal segmental glomerulosclerosis (FSGS), membranous nephropathy, and minimal change disease – remember that these are pathology patterns and each can be either primary or due to an underlying disorder/”secondary” (e.g. secondary membranous nephropathy due to systemic lupus erythematous or secondary minimal change disease in the setting of hematologic malignancy). Our patient has no obvious risk factors for etiologies of secondary disease…except COVID-19! Before we get to the biopsy, a word on etiologies of AKI in patients with COVID-19.
In short, AKI may be due to various etiologies with injury to different cells/compartments of the kidney. In patients with infection, hypovolemic (“pre-renal” AKI) and sepsis-associated AKI are possible. What about injury more specific to the SARS-CoV2? It is possible that the virus itself may be able to exert both glomerular and tubular injury. While some pathology studies have identified viral particles in kidney biopsy specimens, this finding has not been consistently replicated. Biopsies performed in patients with COVID-19 have shown a wide variety of findings, including acute tubular injury, membranous nephropathy, collapsing focal segmental glomerulosclerosis (FSGS), oxalate nephropathy, thrombotic microangiopathy (TMA), interstitial nephritis, and minimal change disease (summarized below).

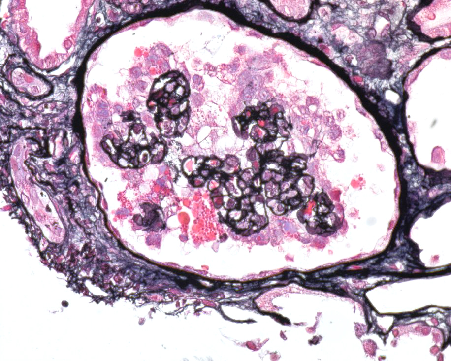
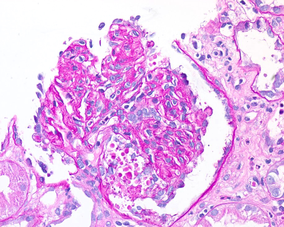
How about our patient with COVID-19 and nephrotic syndrome? The biopsy reveals collapsing FSGS!
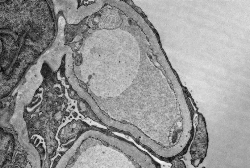
Above, we see collapse of the capillary loops along with hypertrophy and hyperplasia of the podocytes. We also see effaced podocytes under electron microscopy (EM). Viruses have been commonly associated with collapsing FSGS or collapsing glomerulopathy (think: human immunodeficiency virus (HIV), cytomegalovirus (CMV), parvovirus B19) – and seem SARS-CoV2 has been added to the list: meet COVAN (COVID-19 associated nephropathy). Collapsing glomerulopathy has been reported in individuals of African ancestry with COVID-19 and high-risk apolipoprotein 1 (APOL1) alleles. A proposed pathogenesis of COVAN is summarized in the figure below.

Of course, not all COVID-19 associated AKI is collapsing glomerulopathy. Take a look at proposed mechanisms of other etiologies in the figure below.

Treatment? For now, supportive care. Let’s also keep in mind that medications used as part of COVID-19 treatment may themselves be nephrotoxic and also contribute to AKI…as we learn more about this devastating disease, it is likely we’ll continue to learn more about the impact of COVID-19 on the kidneys.
Case 50 Index
Case 50 Introduction
Case 50 Physical Exam
Case 50 Diagnostic Testing
Case 50 Pathology
NephSIM

