Looking at a pathology slide? Start with these steps:
1. Are you looking at a light microscopy, electron microscopy, or immunofluorescence specimen (more below)?
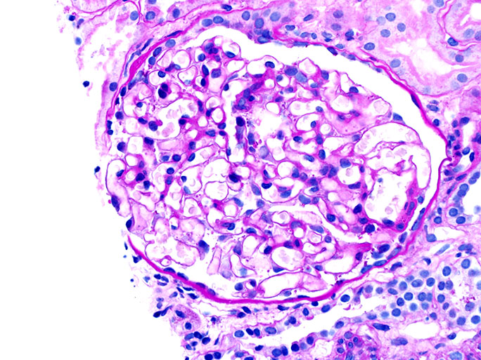
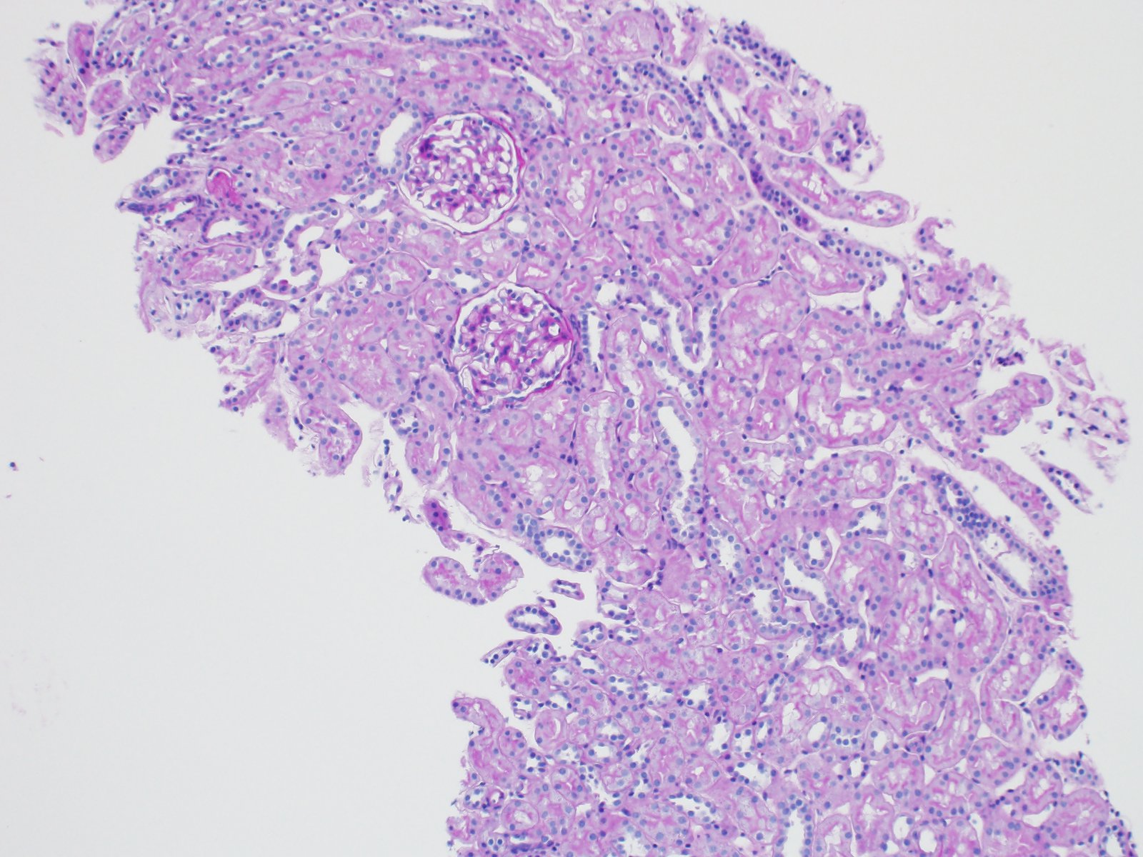
2. Are the capillary loops open?
3. Is Bowman’s space open?
4. Is the mesangial space expanded?
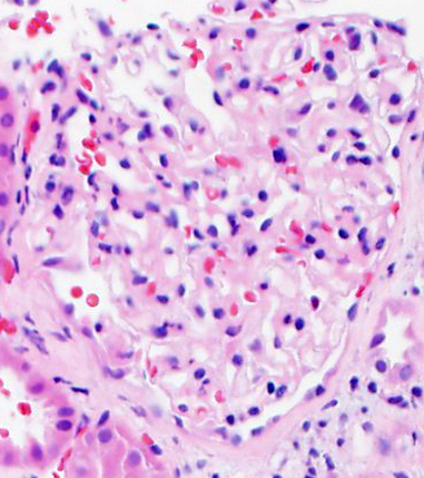
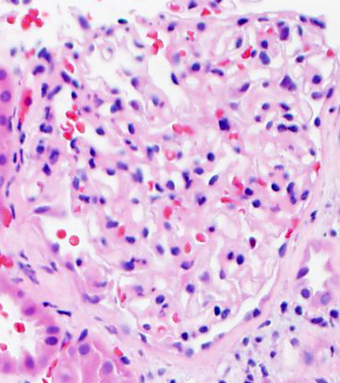
5. Is there proliferation of mesangial, parietal, or endothelial cells?
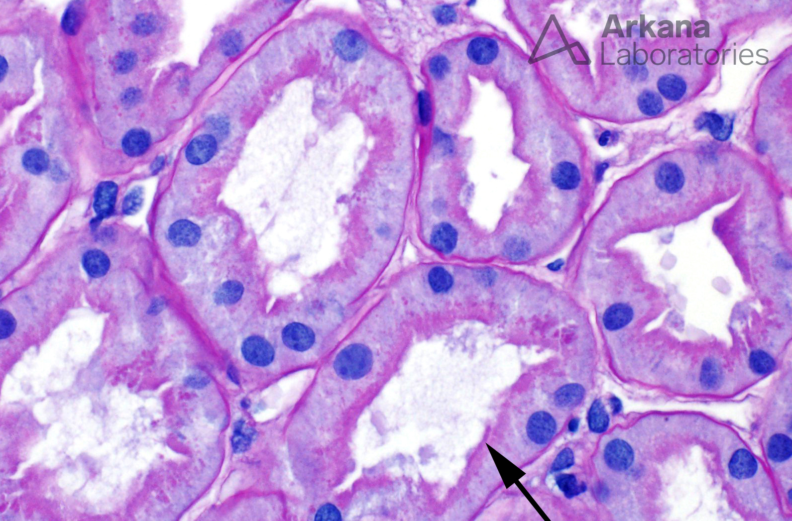
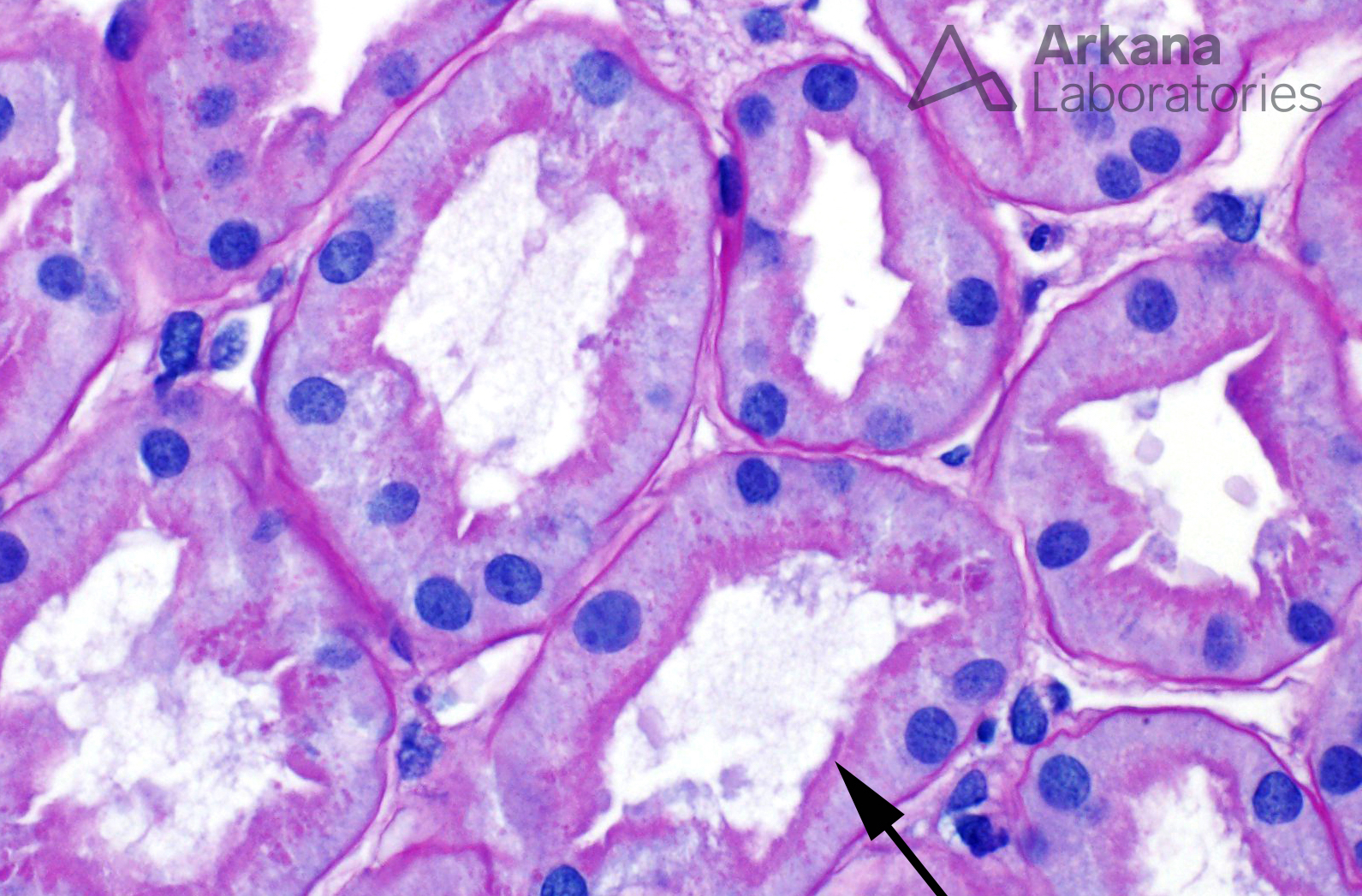
6. Are the tubules “back-to-back” with a healthy brush border?



What stain are you looking at? Here are some commonly used histochemical stains (viewed under light microscopy):
1. Hematoxylin & Eosin Stain or H&E: hematoxylin binds to basophilic substances and stains them dark blue/violet (like DNA/RNA) while eosin binds to acidophilic substances and stains them red (like amino acids). The H&E is a principal histochemical stain.
2. Periodic Acid Schiff or PAS: stains carbohydrates and carbohydrate rich macromolecules including collagen a deep red or magenta color
3. Jones or Silver Methenamine: stains the basement membrane a black color

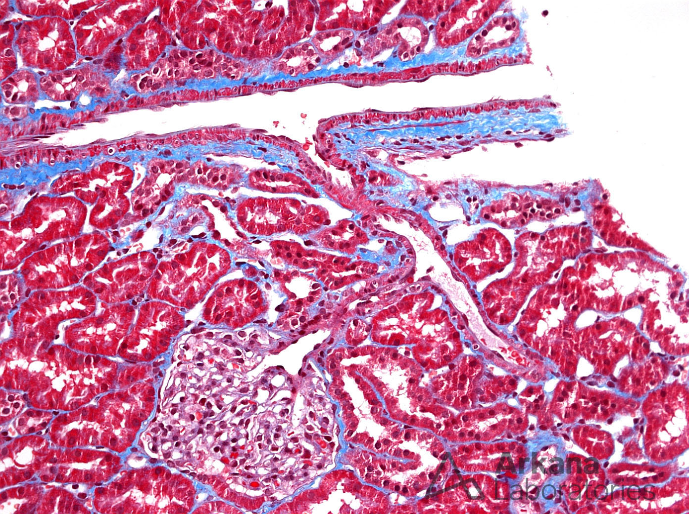
4. Masson’s Trichrome: used to identify fibrosis, collagen will appear aniline blue or green
Electron Microscopy (EM): used to identify deposits, as well as cellular/basement membrane abnormalities

Immunofluorescence (IF): Fluorescent-labeled antibodies are used to identify the antigens: primarily, the immunoglobulins IgG, IgM, and IgA, complement components (C3, C1q, and C4), fibrin, and kappa and lambda light chain. Additional antibodies can be used if needed. See the difference between a negative (left) and positive (right) IF stain below.
A kidney pathology tip to identify a hypercellular glomerulus: try the chocolate chip cookie analogy (i.e. more chips = more cells)

