Case Published: November 2018
Diagnosis: Myeloma cast nephropathy or light chain cast nephropathy
Case Summary: Well done! This case is full of learning points, let’s get started:
This 75 year-old patient presenting symptom of back pain and clinical features including anemia, hypercalcemia, acute kidney injury, gamma gap, and a low anion gap raise suspicion for multiple myeloma (MM) – a hematologic malignancy defined by a high percentage of monoclonal plasma cells in the bone marrow. Myeloma cast nephropathy is the most common etiology of AKI in MM patients, though there are multiple other mechanisms of injury to the tubules and glomerulus.
R: Renal failure
A: Anemia
B: Bone pain
Before we move onto the pathophysiology of myeloma cast nephropathy, or “myeloma kidney”, let’s talk about the gaps: the anion gap and the gamma gap. The anion gap, or a measure of “unmeasured anions” is calculated by subtracting the concentration of the major anions (chloride and bicarbonate) from the major cation (sodium). Normally, a patient’s anion gap is determined by the albumin concentration – as albumin is the major anion. In monoclonal gammopathies like multiple myeloma, the secretion of a positively charged monoclonal protein can lead to a low anion gap. In our patient, the anion gap is 6 (lower than the normal value of 10-12). The gamma gap, or protein gap, is the difference between the total protein and serum albumin of more than 4 g/dL. This finding should lead to investigation for a polyclonal or monoclonal gammopathy.
Myeloma cast nephropathy is caused by the interaction of freely filtered free light chains by the glomerulus with Tamm-Horsfall protein which leads to cast formation, tubular obstruction, and ultimately tubular injury. When free light chains are found in the urine, we call them Bence Jones proteins (named for Henry Bence Jones who first described them in 1847). Our patient had 6 g of proteinuria per day – a value of more than 1 g of free light chains/day in the urine should raise suspicion for myeloma kidney. So if there’s so much proteinuria, why was the urinalysis negative for protein? The urinalysis is most sensitive albuminuria (and may not pick up non-albumin proteinuria, like immunoglobulin light chains). Another way to measure both albumin and non-alubmin proteinuria is the urine protein sulfosalicylic acid (SSA) precipitation test.
Diagnosis of MM is confirmed with a bone marrow biopsy to look for the percentage of monoclonal plasma cells as well as serum protein electrophoresis (which can identify a monoclonal or “M” spike) and immunofixation (detects and types the protein). Serum free light chain levels should also be investigated to look for an abnormal ratio of kappa to lamba immunogloblulin light chains, again suggesting monoclonality. In this case, the SPEP identified an M-spike in the gamma zone and immunofixation typed it as immunoglobluin G (IgG).
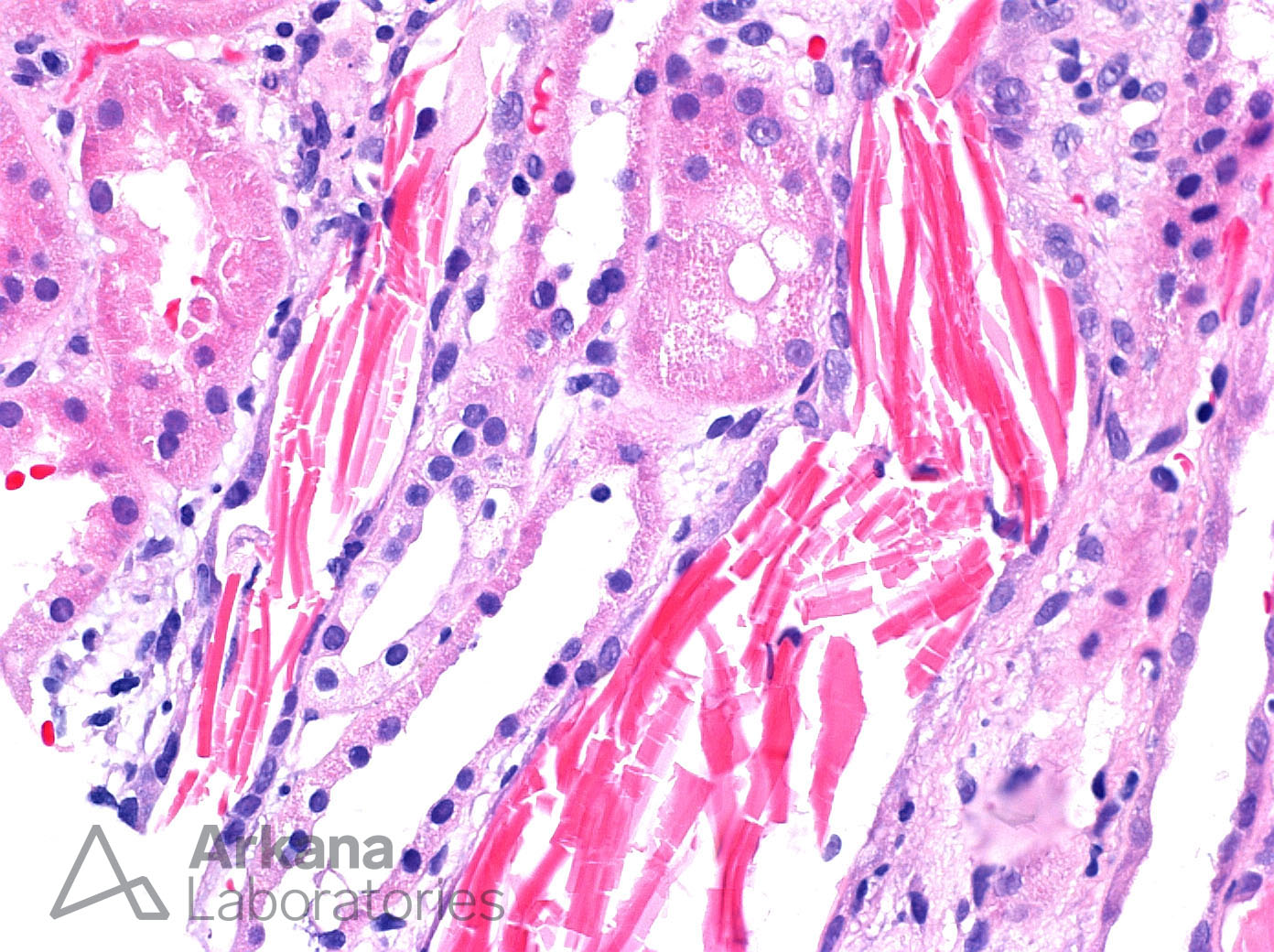
Finally, let’s move onto pathology. Myeloma cast nephropathy’s classic finding is an obstructing tubular cast that has a fractured appearance and appears eosinophilic under an H&E stain but pale under a PAS stain. See the difference below (H&E on the left, PAS on the right). The tubular cast leads to an inflammatory reaction and often a giant, multinucleated cells can be observed surrounding the cast within the tubule (also known as a foreign body reaction).
To confirm monoclonality, we can use immunofluorescence (IF) to stain for kappa and lambda. Who are kappa and lambda? Antibodies are made up of heavy chains and light chains, and kappa and lambda are the two types of light chains. In patients with light chain monoclonal gammopathies, either kappa or lambda is dominantly produced by plasma cells (more commonly kappa in MM). Take a look at the dominant intratubular staining of kappa below (on the left) compared to lambda (on the right):
We won’t cover more of the growing topic of monoclonal gammopathies of renal significance – but remember that myeloma cast nephropathy is only ONE of various kidney pathologies that can occur in patients with monoclonal gammopathies. Other possible pathologies include: light chain deposition disease, amyloidosis, light chain proximal tubulopathy, fibrillary glomerulopathy, hemolytic uremic syndrome, monoclonal Ig deposition disease, proliferative GN with monoclonal Ig disease).
For more, take a look here:
- Finkel KW, Cohen EP, Shirali A, Abudayyeh A: Paraprotein–Related Kidney Disease: Evaluation and Treatment of Myeloma Cast Nephropathy. Clin. J. Am. Soc. Nephrol. 11: 2273–2279, 2016
- Palumbo A, Anderson K: Multiple Myeloma. N. Engl. J. Med. 364: 1046–1060, 2011
- Perazella MA, Finkel KW, American Society of Nephrology Onco-Nephology Forum: Paraprotein-Related Kidney Disease: Attack of the Killer M Proteins. Clin. J. Am. Soc. Nephrol. CJASN 11: 2256–2259, 2016
Case 21 Index
Case 21 Introduction
Case 21 Physical Exam
Case 21 Diagnostic Testing
Case 21 Pathology
NephSim
