Case Published: June 2018
Diagnosis: Rhabdomyolysis
Case Summary:
Acute kidney injury (AKI) of this severity in a young, healthy individual with a history of strenuous exercise, myalgias, and dark red/brown urine* raises suspicion for rhabdomyolysis – or the “breakdown or degeneration of muscle tissue…accompanied by the release of breakdown products into the bloodstream.” The word comes from the Ancient Greek words “rhabdo” (“rodlike”, or striated), “myo” (muscle), and “lysis” (breakdown). AKI in the setting of rhabdomyolysis is quite common, accounting for up to 10% of all AKI cases in the United States.
*Myoglobinuria
*Porphyria
*Bile fragments
*Food/drugs
The elevated serum CK level of over 200,000 U/L clinches this diagnosis. Though AKI is possible with less impressive CK levels, the risk is usually lower with levels less than 20,000 U/L. Pigmented granular casts and cellular casts may be seen in the urine, though not seen in this case. Phosphorus, potassium, and uric acid may be elevated both because of release from injured muscle as well as impaired renal clearance. Hypocalcemia can occur due to precipitation of calcium with phosphate within injured muscle tissue. This patient also has an anion-gap metabolic acidosis.
The presence of myoglobin in the urine (myoglobinuria) occurs as the large myoglobin protein enters the tubular epithelial cells via endocytosis.
2. Release of ferrihemate from myglobin/myoglobin-induced oxidative injury increases vasoconstriction, decreases vasodilation, and ultimately leads to tissue ischemia and direct tubular toxicity
3. Tubular obstruction due to precipitation of Tamm–Horsfall protein–myoglobin complex
4. Sloughed tubular cells may form cellular casts and obstruct the tubules
5. Endothelial dysfunction and local inflammation
As a quick aside, wondering why this isn’t a case of NSAID-induced AKI? In this patient, NSAIDs may exacerbate vasoconstriction of the afferent arteriole via inhibition of prostagladins, but they are not the main cause of kidney injury. NSAID-induced acute interstitial nephritis (AIN) could be a concern, but the absence of white blood cells in the urine (pyuria) makes it less likely. NSAIDs can also lead to minimal change disease, but this would present as nephrotic syndrome.
Now back to rhabdomyolysis.
2. Seizures, alcohol withdrawal
3. Genetic metabolic disorders(including those of glycolysis, glycogenolysis, lipid metabolism, and mitochondria)
4. Drugs (lipid-lowering, alcohol, heroin, cocaine)
5. Infections (i.e. Influenza, Epstein-Barr virus, Legionella, coxsackievirus, HIV, clostridium, Steptococcus pyogenes, Staphylococcus aureus)
6. Metabolic & Electrolyte disorders (low potassium/phosphorus/calcium, diabetic ketoacidosis, nonketotic hyperosmolar conditions)
7. Body temperature changes
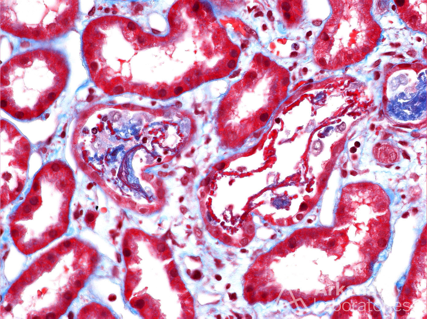
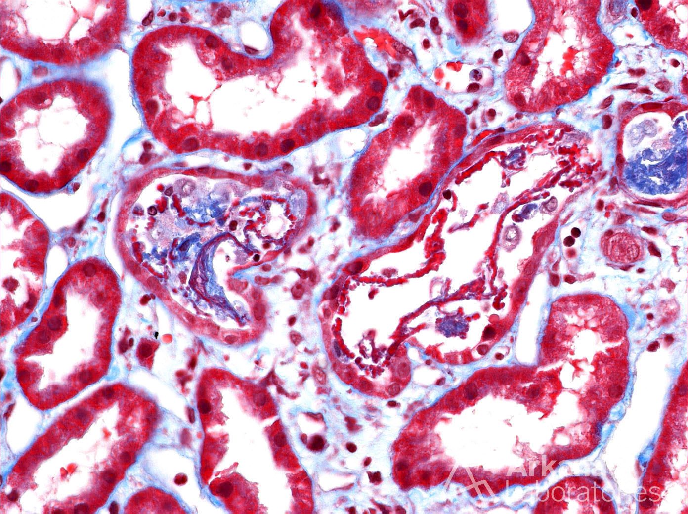
Though our patient did not require a kidney biopsy as the diagnosis was clear from the available data, we would expect to see myoglobin casts in the tubules as shown below (review the different slide preparations here).
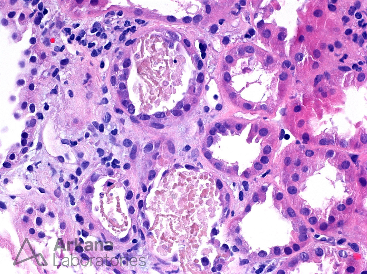
Immunohistochemistry (IHC) stains can be done to identify specific antigens. The IHC stain for myoglobin below confirms the presence of myoglobin within the tubule.
Finally, a few words on treatment. What to do first: early and aggressive volume repletion with fluids, though the choice of fluid remains controversial. In theory, alkalization of the urine with sodium bicarbonate-containing fluids may be of benefit given the pathophysiological mechanisms described above – but this benefit is not clear from existing data. Diuretics can be used to promote urine flow and decrease precipitation of myoglobin casts once volume is repleted, but again, there is no strong evidence for this practice.
Renal replacement therapy may be required if patient’s develop refractory hyperkalemia, metabolic acidosis, or volume overload. Traditional hemodialysis does not effectively remove myoglobin from the serum, but continuous venovenous hemofiltration (CVVH) or hemodiafiltration (CVVHDF) have been shown to have some efficacy in case reports. As reactive oxygen species are also implicated in the pathogenesis of rhabdomyolysis-induced AKI, there may be a role for antioxidants and free-radical scavengers – again, there are no large studies to support this intervention.
For more, take a look at the references below:
- Bosch X, Poch E, Grau JM: Rhabdomyolysis and acute kidney injury. N. Engl. J. Med. 361: 62–72, 2009
- Petejova N, Martinek A: Acute kidney injury due to rhabdomyolysis and renal replacement therapy: a critical review. Crit. Care 18: 224, 2014
- Esposito P, Estienne L, Serpieri N, Ronchi D, Comi GP, Moggio M, Peverelli L, Bianzina S, Rampino T: Rhabdomyolysis-Associated Acute Kidney Injury. Am. J. Kidney Dis. 71: A12–A14, 2018
Case 4 Index:
Case 4 Introduction
Case 4 Physical Exam
Case 4 Diagnostic Testing
Case 4 Additional Testing
NephSim
