Case Published: December 2018
Diagnosis: Autosomal dominant polycystic kidney disease (ADPKD)
Case Summary: In this case, we have a patient with microscopic hematuria, complaints of thirst and polyuria, a biological parent with a history of end stage kidney disease, and fullness of the flanks on physical exam. The kidney ultrasound confirms a classic presentation of ADPKD. Other diagnoses high on the differential would include thin basement membrane disease, Alport’s syndrome (though no history of hearing loss here), and IgA nephropathy – though these would not produce flank fullness.
ADPKD is a disease of progressive kidney cyst formation that can lead to rapid loss of kidney function once the glomerular filtration rate begins to decline. The molecular biology of cyst formation growth is complex and may involve an increase in cyclic adenosine monophosphate (cAMP), mammalian target of rapamycin (mTOR) and Src pathways, and ciliary dysfunction.
Almost all patients with ADPKD have an abnormality of the polycystin gene (PKD) on chromosome 16. While most have a mutation in PKD1 (earlier disease presentation, faster progression), a smaller percentage will have a PKD2 mutation (later disease presentation, slower progression).
* 30 – 59 yrs old: 2 cysts in EACH kidney
* > 60 yrs old: 4 cysts in EACH kidney
Genetic testing may be more cost-effective in asymptomatic patients or those with the slower progressing PKD2 as small cysts may not be picked up by ultrasound (though computed tomography (CT) or magnetic resonance imaging (MRI) can be helpful in these cases).
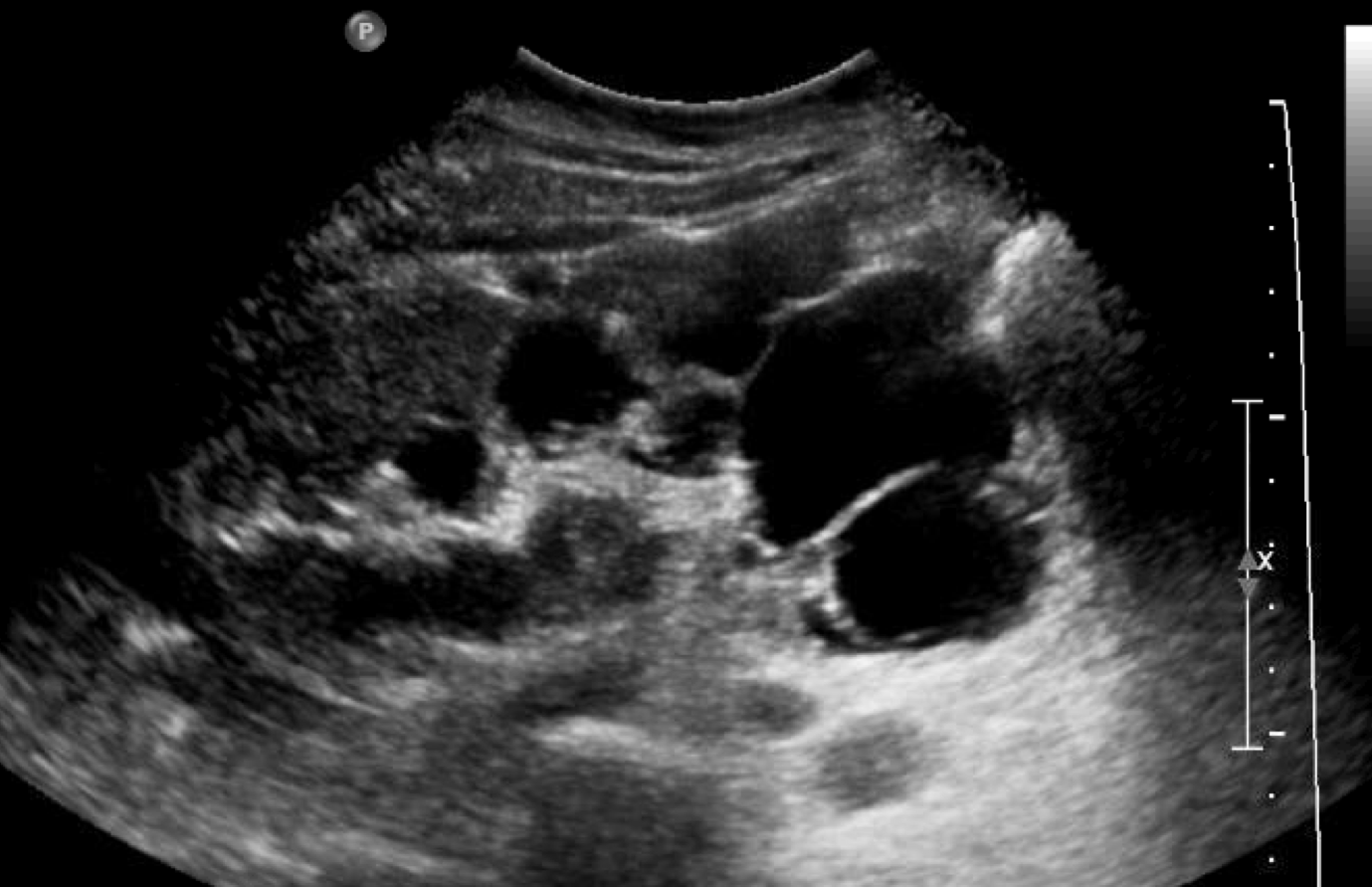
Our patient had numerous cysts in both kidneys. Other features of ADPKD include proteinuria (due to impaired low-molecular weight protein tubular endocytosis and reabsorption), hematuria, nephrolithiasis (stones), and thirst/polyuria/nocturia (present in our patient) due to a urine concentration defect. These patients may also develop cyst hemorrhage or infections, renal carcincoma, or abdominal pain from large kidney size. Cysts that form in the liver can also cause abdominal pain. Take a look at an ultrasound and CT image from two patients with ADPKD below:
Disease progression can be stratified using the Mayo classification (1A, 1B, 1C, 1D, and 1E – with 1A corresponding to the lowest rate of total kidney volume growth). Kidney volume is best assessed with MRI. Once the GFR begins to fall (usually after age 40), it will continue to fall on average at 5 cc/min/1.73 m2. Risk factors for higher progression are included in the PROPKD kidney survival predictor score.
What about autosomal RECESSIVE PKD? Look for unaffected parents and presentation of disease in older children or young adults (gene mutations in PKDH1 which encodes fibrocystin, also known as polyductin or DZIP1L).
Unfortunately, therapeutic options are limited to renin angiotensin-aldosterone system (RAAS) blockade, blood pressure control, and tolvaptan (vasopressin receptor antagonist which decreases cAMP levels). Somatostatin analogues like octreotide have not yet been shown to be effective in decreasing the rate of eGFR decline, though clinical trials are ongoing.
Case 23 Index
Case 23 Introduction
Case 23 Physical Exam
Case 23 Diagnostic Testing
NephSim
