Case Published: August 2018
Diagnosis: Cytomegalovirus (CMV) infection
Case Summary: In this immunocompromised patient who presents with new onset of diarrhea, an infectious etiology should be high on our differential. Rejection of the allograft is less likely here – especially as the patient’s kidney function (as estimated by the creatinine) has not significantly changed.
So, how to we begin to look for infectious etiologies? When thinking about post-transplantation infectious, a good place to start is timing as infections due to certain organisms may be more or less likely based on the time post-transplant (see table below from Fishman, J NEJM 2007):

Our patient falls within the > 6 month post-transplantation period. With negative stool tests for C. difficile, viruses, and parasites and realization that this patient is at high risk for CMV infection (donor CMV IgG +, recipient CMV IgG -), our suspicion must be high for CMV viremia and prompts us to check a viral level – which is over 1 million copies and confirms the diagnosis of CMV viremia, and likely CMV colitis. For “high risk” recipients, CMV prophylaxis may be continued for 6 months, and it is common for viremia to present after prophylaxis is discontinued.
Further, our patient also presented with thrombocytopenia and leukopenia which are also associated with CMV infection.
Malaise
Arthalgias
Thrombcytopenia
Leukopenia
Of note, CMV may be detected in the blood without symptoms.
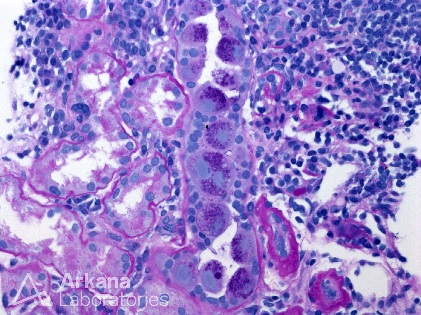
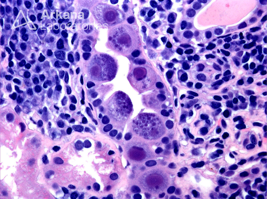
Though our patient did not present with acute kidney injury, CMV can infiltrate the allograft. Take a look at these biopsies below – both intranuclear and cytoplasmic viral inclusions can be seen. Immunohistochemical (IHC) stains for CMV viral antigens can confirm the diagnosis.
Let’s wrap up with a few words on the basics of treatment. First, immunosuppression must be reduced (the anti-metabolites azathioprine or mycophenolic acid are usually stopped first)! Remember that immunosuppression should strike a balance between infection and allograft rejection. Antiviral drugs (intravenous ganciclovir, oral valganciclovir, IV foscarnet, and IV cidofovir) inhibit the virus’s DNA polymerase. The choice of therapy depends on the severity of infection and resistance profile of the virus. Response to therapy is assessed by measuring repeat serum viral levels – after successful therapy, the viral load should be undetectable.
Ganciclovir remains first-line therapy for moderate to severe disease, while oral valganciclovir may be sufficient for milder disease. Failure of therapy with ganciclovir prompts viral resistance testing and may necessitate the need for the nephrotoxic drugs foscarnet or cidofovir.
For more, take a look here:
- Kotton CN, Kumar D, Caliendo AM, Asberg A, Chou S, Danziger-Isakov L, Humar A, Transplantation Society International CMV Consensus Group: Updated international consensus guidelines on the management of cytomegalovirus in solid-organ transplantation. Transplantation 96: 333–360, 2013
- Cytomegalovirus in Solid Organ Transplantation – Razonable – 2013 – American Journal of Transplantation – Wiley Online Library. Available from: http://onlinelibrary.wiley.com/doi/abs/10.1111/ajt.12103
- Fishman JA: Infection in Organ Transplantation. Am. J. Transplant. Off. J. Am. Soc. Transplant. Am. Soc. Transpl. Surg. 17: 856–879, 2017
Case 15 Index
Case 15 Introduction
Case 15 Physical Exam
Case 15 Diagnostic Testing
NephSim
